Découvrez nos réseaux sociaux
Actualités

ANÉMIE : Comment la carence en fer compromet la production de globules rouges

Actualité publiée il y a 8 années 2 mois 2 semaines
Journal of Experimental Medicine
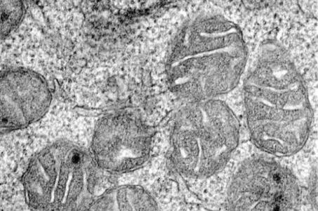
Ces cellules progénitrices érythroïdes se divisent pour fabriquer des globules rouges- mitochondries à l’intérieur de ces cellules

Cette découverte d’une équipe de l'Université de Virginie révèle un processus d’horloge encore inconnu dans le corps qui contrôle la création de globules rouges transportant l'oxygène. Ces nouvelles données, présentées dans le Journal of Experimental Medicine éclairent les effets de l’anémie ferriprive qui laisse des millions de personnes faibles, fatiguées et incapables de concentration. De nouvelles cibles qui ouvrent la voie à de meilleurs traitements.

 

Les chercheurs souhaitaient comprendre pourquoi les anémies liées à une carence en fer induisent une production insuffisante de globules rouges. Ils se sont concentrés sur les cellules de moelle osseuse et y ont identifié des réservoirs importants du récepteur de l'érythropoïétine ou hormone EPO (connue pour améliorer la performance sportive), qui induit la moelle osseuse à fabriquer des globules rouges -via des cellules progénitrices érythroïdes qui se divisent pour fabriquer des globules rouges-(Visuel mitochondries à l’intérieur de ces cellules progénitrices érythroïdes). Pour accomplir sa fonction de fabrication des cellules sanguines, le récepteur doit être à l'extérieur des cellules médullaires et pourtant les chercheurs constatent ici ces quantités importantes stockées à l'intérieur des cellules.

 

Moelle osseuse, EPO, Scribble et globules rouges : cette découverte pourrait expliquer pourquoi les cellules de la moelle osseuse de certaines personnes ne suivent pas les instructions de l'hormone EPO. In vitro, l’équipe montre que ces cellules, privées ou carencées en fer, agissent comme des cellules anémiques et surtout, perdent une protéine fondamentale, Scribble, codée par le gène SCRIB, impliquée dans ce mécanisme d'horloge :

  1. Les niveaux de fer dans le sang affectent la quantité de protéine Scribble disponible ;
  2. Scribble contrôle si le récepteur d'hormone est abondant à l’intérieur des cellules de la moelle osseuse et régule son travail à l'extérieur des cellules de la moelle osseuse ;
  3. Une fois le niveau de récepteur d’hormone suffisant à l’extérieur des cellules, alors la moelle osseuse fabrique des globules rouges en quantités suffisantes.

 

 

La compréhension de ce mécanisme induit par les niveaux en fer pourra permettre de développer de nouveaux traitements de l'anémie.

 « Nous avons les composants clés et nous pouvons remonter la chaine à l'élément de régulation maître qui la contrôle. Cela nous rapproche beaucoup de traitements alternatifs pour l'anémie ».