ANTIBIORÉSISTANCE: Le peptide antimicrobien qui élimine le biofilm
Les experts microbiologistes estiment qu'en 2050, les infections bactériennes résistantes aux antibiotiques pourraient tuer 10 millions de personnes par an, si aucun nouvel antimicrobien n'est développé. Cependant de nombreuses équipes travaillent au développement de peptides antimicrobiens capables de tuer les souches bactériennes résistantes aux antibiotiques. C’est le cas de ces scientifiques du Massachusetts Institute of Technology (MIT) qui arrivent donc bien à point, avec leur peptide « fatal », appelé clavanine-MO.
Pour redévelopper l'arsenal contre les maladies infectieuses et pouvoir faire face à l'émergence des antibiorésistances, de nombreuses équipes de recherche travaillent sur ces protéines naturelles, les peptides antimicrobiens, qui peuvent tuer non seulement les bactéries, mais d'autres microbes comme les virus et les champignons. Les peptides antimicrobiens, produits par tous les organismes vivants dans le cadre de leurs défenses immunitaires, tuent les microbes de plusieurs manières différentes. Ils percent les membranes cellulaires, perturbent de l'intérieur plusieurs cibles cellulaires, dont l'ADN, l'ARN et les protéines des pathogènes. Ces peptides offrent une autre capacité critique qui les distingue des antibiotiques traditionnels : ils peuvent recruter les cellules leucocytes, du système immunitaire de l'hôte, et les induire à sécréter des composés chimiques qui contribuent à éliminer les microbes envahisseurs.
De nombreuses équipes scientifiques travaillent depuis des années à tenter de développer, à partir de ces peptides, des alternatives thérapeutiques aux antibiotiques, pour faire face à l'antibiorésistance. Les peptides naturels peuvent être composés de 20 acides aminés différents, de sorte qu'il existe une très grande variation possible dans leurs séquences. Et c'est en adaptant leurs séquences qu'on peut obtenir des peptides dotés de fonctions spécifiques, notamment thérapeutiques. C'est la démarche de ces chercheurs du MIT, de l'Université de Brasilia et de Colombie-Britannique qui sont parvenus à concevoir un peptide antimicrobien qui peut détruire de nombreux types de bactéries, un peptide décrit comme « passionnant » dans le sens où il ouvre une toute nouvelle alternative pour le traitement de ces infections.
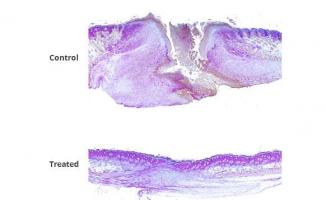
Ce nouveau peptide, appelé clavanine-MO : Les chercheurs ont commencé avec un peptide antimicrobien naturel appelé clavanine-A, isolée d'un animal marin connu sous le nom de tunicate. La forme originale du peptide tue de nombreux types de bactéries, mais les chercheurs l'ont transformé par ingénierie pour rendre le peptide encore plus efficace. En particulier, les chercheurs ont doté le peptide d'une séquence de 5 acides aminés qui renforce son interaction avec la membrane cellulaire et augmente sa capacité destructrice. Ce nouveau peptide, appelé clavanine-MO s'avère très puissant contre de nombreuses souches bactériennes. Testé chez la souris, il se montre capable de tuer des souches de Escherichia coli et de Staphylococcus aureus résistantes à la plupart des antibiotiques.
Il éloigne le risque de septicémie : l'autre avantage de ces peptides est de pouvoir supprimer, en recrutant les leucocytes, la réaction inflammatoire aiguë qui peut causer la septicémie. « Dans cette seule molécule, vous avez un peptide qui peut tuer les microbes, agir comme un anti-inflammatoire et renforcer l'immunité ». Dernier atout et non des moindre, le peptide est capable de « dissoudre » certains biofilms et donc, théoriquement de traiter certaines infections chroniques persistantes. On songe aussi à des revêtements antimicrobiens pour cathéters, ou des topiques pour traiter des infections cutanées bactériennes. Bref, de multiples possibilités, en thérapie autonome ou en combinaison avec des antibiotiques traditionnels.
Autres actualités sur le même thème
CICATRISATION, RÉGÉNÉRATION: Bientôt du collagène humain en laboratoire
Actualité publiée il y a 9 années 6 moisCICATRISATION : Fumer la retarde mais vapoter ?
Actualité publiée il y a 7 années 1 moisINFECTION VIRALE : Comprendre comment le virus pénètre dans la cellule hôte
Actualité publiée il y a 5 années 6 moisPLAIES CHRONIQUES ou TRAUMATIQUES : Une association thérapeutique qui révolutionne la cicatrisation
Actualité publiée il y a 7 années 2 mois



