ATHÉROSCLÉROSE : Des anticorps pour stabiliser la plaque
Cette équipe du Karolinska Institutet (Suède) vient de découvrir que les anticorps de type IgG jouent un rôle inattendu dans l'athérosclérose. Leur étude menée chez la souris et publiée dans la revue Circulation montre que ces anticorps stabilisent la plaque qui s'accumule sur les parois des artères, ce qui réduit le risque de rupture et de formation de caillot sanguin. Les chercheurs espèrent que ces résultats vont déboucher sur de meilleurs traitements.
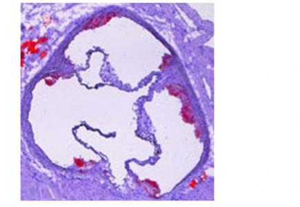
Car l'athérosclérose est la principale cause sous-jacente de crises cardiaques et d’accidents vasculaires cérébraux (AVC) et sera la principale cause de décès dans le monde à terme. Environ un tiers des patients ne répondent pas au traitement par statine. La maladie est caractérisée par un rétrécissement des parois artérielles résultant de l'accumulation (athérome) de lipides et de cellules, appelée plaque d’athérome. Lorsque la plaque se rompt, des caillots sanguins peuvent se former et limiter le flux sanguin vers les organes vitaux, tels que le cœur et le cerveau. Pour réduire le nombre de décès liés à l’athérosclérose, les chercheurs s’efforcent donc de trouver des moyens d’empêcher la formation et la rupture de la plaque.
Les lymphocytes B du système immunitaire produisent des anticorps qui interviennent dans la lutte contre l'infection. Ces anticorps peuvent également aider à éliminer les tissus endommagés, par exemple sous la forme de plaques athérosclérotiques. Les scientifiques savent également que le système immunitaire joue un rôle dans le développement de la plaque, mais le processus reste mal compris. Ici, l’équipe suédoise a donc étudié le développement de la plaque d'athérome chez des souris dépourvues d'anticorps. Les chercheurs constatent que la plaque formée dans un environnement sans anticorps est exceptionnellement petite, présente un aspect différent et contient plus de lipides et moins de cellules musculaires. Cela suggère, écrivent les chercheurs dans leur communiqué, que la plaque est instable et plus sujette aux ruptures.
Des anticorps IgG stabilisateurs : les anticorps IgG, la classe d'anticorps la plus répandue dans le sang, sont alors identifiés pour leur rôle stabilisateur de la plaque. D'autres analyses montrent également que les cellules des muscles lisses de l'aorte ont besoin de ces anticorps pour se diviser correctement. Et lorsque les cellules ne peuvent pas se diviser correctement, la plaque semble devenir plus petite et plus instable.
Ces anticorps jouent donc un rôle clé dans la formation et la stabilité de la plaque artérielle. Il va maintenant falloir identifier quel type particulier d'anticorps IgG qui reconnaît les composants de la plaque.
Une fois identifiés, ces anticorps spécifiques pourraient être à la base d’un nouveau traitement capable d'atténuer l'athérosclérose, en stabilisant la plaque d’athérome, et, espèrent les auteurs, de contribuer à la réduction du nombre de décès cardiovasculaires.
Autres actualités sur le même thème
HYPERTENSION : L'enzyme qui protège contre ses dommages cardiaques
Actualité publiée il y a 3 années 4 moisRISQUE CARDIAQUE : Quels bénéfices réels d'une consommation d'alcool modérée
Actualité publiée il y a 8 années 10 moisEXERCICE EXTRÊME : Il ne raccourcit pas la durée de vie, au contraire
Actualité publiée il y a 1 année 8 moisINSUFFISANCE CARDIAQUE : La relaxine, pour rajeunir le coeur ?
Actualité publiée il y a 6 années 2 mois



