CANCER de la PEAU: Quand les bactéries prêtent main forte aux cellules cancéreuses
Notre peau est recouverte de millions de bactéries qui, pour la plupart d'entre elles contribuent à nous protéger. Mais dans le cas d’un lymphome cutané c’est une autre histoire. Alors les bactéries de la peau ou plutôt leurs toxines aident les cellules cancéreuses à prendre le dessus sur les cellules saines et contribuent ainsi au développement du cancer. Cette étude de l’Université de Copenhague, présentée dans la revue Blood, suggère ainsi que lutter contre l’infection bactérienne, pourrait ralentir la croissance des cellules cancéreuses et stopper la maladie.
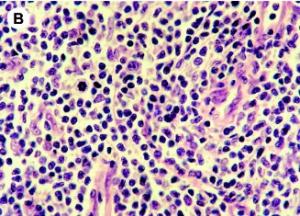
Les infections bactériennes sont d'ailleurs plus fréquentes chez les patients atteints de lymphome cutané dont la peau est plus fragile. Ces infections se multiplient avec le développement de la maladie. Le lymphome cutané à cellules T ou « T cutané » est caractérisée par une prolifération de cellules T malignes dans un environnement inflammatoire chronique. Avec la progression de la maladie, bactéries colonisent la barrière cutanée et la moitié des patients décède de l'infection plutôt qu'en raison de la malignité. Des données cliniques ont déjà montré le rôle direct des bactéries dans la progression de ce cancer. Cette étude décrypte les voies moléculaires de ce rôle bactérien.
In vitro, l'équipe montre à partir de prélèvements de tissus de peau affectée de patients atteints, et d'isolats bactériens qu'une toxine de Staphylococcus aureus (staphylococcal enterotoxin-A /SEA) stimule l'expression de 2 protéines, STAT3 et IL-17, dans les cellules T malignes ce qui favorise l'activation d'une voie oncogénique établie bien documentée dans le développement du cancer (carcinogenèse). En bref, via ses toxines, la bactérie « profite » aux cellules cancéreuses et favorise leur croissance. Dans le lymphome cutané, des cellules immunitaires spécifiques, les lymphocytes T CD4+ se transforment en cellules cancéreuses. L'étude montre que les toxines des bactéries permettent aux cellules cancéreuses d'envoyer des signaux qui perturbent le mécanisme de défense immunitaire, qui normalement devrait lutter contre les cellules cancéreuses. Les bactéries pourraient donc contribuer à rendre le lymphome de la peau soudainement plus agressif chez certains patients.
Le processus infectieux facilitateur de lymphome : Ces nouvelles données sur les processus infectieux qui activent les cellules cancéreuses suggèrent donc, qu'ils ne sont pas un simple effet secondaire de la maladie mais partie prenant du processus de cancérogenèse. A partir de là, l'hypothèse évoquée par les chercheurs est que la lutte contre les infections pourrait contribuer à ralentir la croissance des cellules cancéreuses et stopper la maladie. Cependant toutes les bactéries « ne se valent pas » et il s'agit encore de déterminer celles qui produisent ces toxines coupables, puis déterminer les traitements antibiotiques ciblés contre ces bactéries.
Autres actualités sur le même thème
CANCER COLORECTAL : Découverte d’un super gène promoteur de tumeur
Actualité publiée il y a 3 années 3 moisMÉLANOME : Il existe un petit groupe de patients à très faible risque de décès
Actualité publiée il y a 3 années 4 moisCANCER du SEIN : Le traitement, une question d'offre de soins autant que de protocole
Actualité publiée il y a 9 années 2 semainesCANCER COLORECTAL : Comment le fructose favorise la croissance des tumeurs du côlon
Actualité publiée il y a 6 années 11 mois



