CANCER du PANCRÉAS : Un antiparasitaire contre la tumeur
On sait que le cancer du pancréas est l'une des tumeurs malignes les plus agressives, avec une survie médiane globale qui reste inférieure à 5 mois après diagnostic. Cette équipe de cancérologues et pharmacologues de la Johns Hopkins Medicine révèle,une toute nouvelle option médicamenteuse, un antiparasitaire. Ces travaux menés chez la souris modèle apportent, dans la revue Oncotarget, les premières preuves d’efficacité du mébendazole (MBZ) à ralentir la progression du cancer du pancréas.
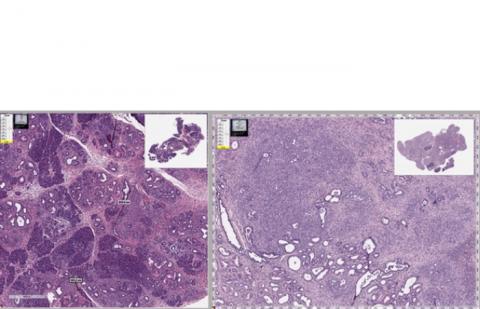
Ainsi une tumeur du pancréas chez la souris (coupe de gauche sur visuel ci-dessous) est pratiquement éliminée (visuel de droite) lorsque la souris est traitée avec un agent inflammatoire et le mébendazole. Une option à regarder de plus près alors que le cancer du pancréas est l'une des tumeurs malignes les plus agressives, avec une survie médiane globale qui reste inférieure à 5 mois. En cause son diagnostic le plus souvent tardif, un manque de médicaments efficaces et le développement, dans de nombreux cas d’une résistance au traitement. Le cancer du pancréas est ainsi le 3è cancer le plus mortel dans les pays riches.
Le mébendazole pourrait jouer un rôle à tous les stades de la tumeur
L’équipe de la John Hopkins montre ici que l’antiparasitaire prévient l'initiation, la progression et les métastases du cancer du pancréas chez des souris génétiquement modifiées pour développer ce type de tumeurs. Les chercheurs utilisent 2 modèles de souris différents pour déterminer que le mébendazole peut ralentir ou arrêter la croissance et la propagation du cancer du pancréas à un stade précoce et/ou avancé.
« Le mébendazole pourrait être efficace à toutes les étapes et tout particulièrement lorsque le cancer est détecté tôt ».
L'étude préclinique : lorsque les chercheurs administrent du mébendazole à des souris modèles de cancer du pancréas, évaluent l'inflammation et observent les changements dans les tissus, le stade, le grade et l'état métastatique de chaque tumeur, ils constatent toute l’efficacité du médicament.
Quel processus ? L’antiparasitaire mébendazole, utilisé pour lutter contre les ascaris, les ankylostomes et autres infections parasitaires inhibe la formation de tubuline qui structure et alimente la cellule. Le médicament pénètre dans l'intestin du parasite, détruit la tubuline, ce qui affame le parasite qui meurt. L'étude montre que le mébendazole agit de manière similaire dans le cancer du pancréas en détruisant la structure des cellules cancéreuses et en réduisant l'inflammation.
Des essais cliniques sont déjà envisagés : « Nous préconisons l'utilisation du mébendazole comme traitement pour les personnes diagnostiquées avant la formation de métastases pour voir si nous pouvons ralentir ou prévenir le cancer du pancréas. Pour les patients atteints de cancers plus avancés, l’antiparasitaire pourrait également être une alternative à certaines chirurgies. Enfin, le mébendazole pourrait permettre de prévenir la récidive tumorale et favoriser la durabilité de la réponse à la chimiothérapie standard chez les patients atteints d'une maladie avancée ».
Autres actualités sur le même thème
CANCER du PANCRÉAS: 4 sous-types bien spécifiques pour un traitement mieux personnalisé
Actualité publiée il y a 10 années 1 moisTRAITEMENT du CANCER : Concilier le « confort » avec la survie
Actualité publiée il y a 6 mois 3 joursCANCER: L'hallucinogène psilocybine pour soulager l'anxiété et la dépression
Actualité publiée il y a 9 années 4 moisCANCER de la PROSTATE : Découverte d'une protéine clé de la métastase
Actualité publiée il y a 4 années 3 semaines



