CANCER : La chimio produit parfois des cellules « monstres »
Cette équipe de l’Université du Texas (UT Health, San Antonio) les appelle les « rogue cells ». Ces chercheurs montrent ici, dans la revue Trends in Cancer, comment de nombreuses chimiothérapies provoquent l'agrandissement de certaines cellules cancéreuses et la multiplication du nombre de leurs chromosomes. En décryptant ce mécanisme qui induit une résistance au traitement puis une récidive du cancer, l’équipe texane suggère une nouvelle voie, cibler cette acquisition cellulaire de chromosomes supplémentaires.
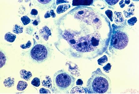
L’auteur principal, le Dr Daruka Mahadevan, chercheur au Mays Cancer Center étudie le lymphome de haut grade depuis 20 ans. Le chercheur nous explique que la thérapie anticancéreuse peut réduire la tumeur et le patient peut se sentir mieux, mais dans le même temps, certaines cellules subissent des changements inquiétants, invisibles au scanner ou à l’IRM. Ces changements sont induits par de nouvelles mutations génétiques causées par le traitement lui-même. Ces cellules anormales deviennent très grandes avec 2 ou 4, 8, 16 ou même 32 fois le nombre normal de chromosomes. Ces cellules tumorales deviennent vite agressives et résistantes au traitement et finissent par entraîner une récidive du cancer.
Des cellules énormes avec 2 ou 4, 8, 16 ou même 32 fois le nombre normal de chromosomes
« C’est un effet de nombreux types de chimiothérapie : exposées à la thérapie, certaines cellules ne meurent pas parce qu'elles ont acquis de nombreux chromosomes et subi d'autres changements génétiques ».
2 gènes cancérigènes en cause : c-Myc et BCL2, 2 gènes actifs dans les lymphomes de haut grade participent à cette résistance et aident les cellules du lymphome à vivre plus longtemps et à devenir plus grandes et plus fortes. Le traitement semble d’abord fonctionner, mais une fois arrêté, ces grandes cellules tétraploïdes recommencent leur division et accélèrent leur croissance, entraînées par c-Myc et BCL2.
Des médicaments qui empêchent l'acquisition de chromosomes multiples : l’équipe vient d’identifier un inhibiteur de petites molécules qui semble prometteur in vitro. Ce médicament qui semble pouvoir supprimer ces grandes cellules à multiples chromosomes pourrait être utilisé en combinaison avec les chimiothérapies existantes pour prévenir la résistance tumorale, non seulement dans le lymphome mais dans de nombreux autres types de cancer.
Autres actualités sur le même thème
CANCER et CACHEXIE: Diagnostiquer la perte de poids, une course contre la montre
Actualité publiée il y a 9 années 5 moisCANCER de la PROSTATE : Des microplastiques dans la tumeur
Actualité publiée il y a 1 mois 2 semainesCANCER COLORECTAL : Il se détecte tôt dans le microbiote intestinal
Actualité publiée il y a 6 années 8 moisCANCER COLORECTAL : Associé à certaines bactéries ?
Actualité publiée il y a 1 année 2 mois



