CICATRISATION ou PSO? La protéine ambiguë qui répare ou détruit la peau
Des niveaux minima de cette protéine, Rac1, sont essentiels à une bonne cicatrisation de la plaie, mais sa surproduction est cause d'inflammation chronique et peut entraîner le psoriasis, révèle cette recherche de Stanford. En identifiant le moyen de contrer et réguler la protéine, ces travaux présentés dans le Journal of Clinical Investigation (JCI) ouvre la voie à la fois à une thérapie pouvait inhiber son expression, empêchant ainsi le psoriasis, et à une autre thérapie qui en stimulant la protéine pourrait contribuer à améliorer la cicatrisation.
Des études centrées sur la cicatrisation des plaies ont documenté le rôle de Rac1 : dans la peau saine, la protéine fibronectine, documentée comme une protéine majeure de l'adhérence cellulaire, active le gène Rac1 dans les fibroblastes, permettant la migration des cellules dans le lit de la plaie et la contraction de la plaie. En travaillant sur le psoriasis, l'équipe de Stanford montre que Rac1, à des niveaux trop élevés est aussi impliquée dans le psoriasis. Le psoriasis est une des maladies les plus courantes de la peau humaine. Caractérisé par des plaques squameuses sur la peau mais aussi des démangeaisons articulaires et l'arthrite, il affecte environ 1 sur 50 personnes dans le monde. Les mécanismes exacts déclencheurs de la maladie restent inconnus, et la plupart des thérapies se concentrent sur l'apaisement de la réponse auto-immune.
Rac1 apparaît donc, à la lumière de cette nouvelle étude comme une nouvelle cible moléculaire pour de nouvelles thérapies. Mais à deux titres,
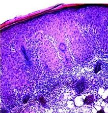
Ø pour traiter le psoriasis : « dans le psoriasis », souligne le Dr Marinkovich, auteur principal, « le ciblage d'une protéine dans la peau, plutôt que du système immunitaire, pourrait être une option avantageuse pour de nombreux patients et pour les cliniciens ». Ainsi, les chercheurs montrent que Rac1 est fortement activé dans les biopsies de la peau psoriasique de 20 patients atteints. De même, lorsqu'ils activent artificiellement Rac1 dans la peau de souris de laboratoire, les animaux présentent alors des symptômes similaires à ceux des patients humains (Visuels du haut).
Ø pour la cicatrisation des plaies : lorsqu'il est activé, Rac1 favorise la prolifération des cellules dans l'épiderme et envoie des signaux pour activer le système immunitaire. Dans des conditions normales, Rac1 est impliqué dans une réponse, nécessaire à la suite d'une blessure.
Il apparaît possible de bloquer/réguler l'activité de la protéine : le blocage de l'activité de Rac1 dans des biopsies de peau humaine psoriasique greffées sur le dos des souris, inverse l'hyperplasie de la peau (cf vignette) et réduit le recrutement de molécules immunitaires appelées cytokines. Cibler l'activation de Rac1 dans la peau peut donc être un moyen de traiter le psoriasis, sans toucher au système immunitaire. La prochaine étape consistera à développer des médicaments topiques, sous forme de gel ou de pommade, capables de réguler à la baisse ou à la hausse l'activation de Rac1 anormale dans le psoriasis mais bienvenue dans la cicatrisation.
Autres actualités sur le même thème
INCUBATION : Le hasard, facteur majeur de propagation de la maladie ?
Actualité publiée il y a 8 années 3 moisINFECTIONS NOSOCOMIALES : Comment les bactéries se déplacent et envahissent ?
Actualité publiée il y a 4 années 7 moisINFECTION URINAIRE : La métamorphose de la bactérie en dit long
Actualité publiée il y a 3 années 8 moisPLAIES INFECTÉES : La petite protéine qui inhibe le développement du biofilm
Actualité publiée il y a 9 années 4 mois



