Découvrez nos réseaux sociaux
Actualités

COVID-19 : Le SRAS-CoV-2 s’attaque à la moelle rouge

Actualité publiée il y a 4 années 6 mois 2 semaines
Archiv Euromedica
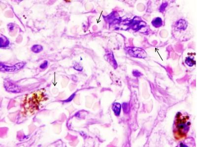
Cette attaque massive des globules rouges entraînerait des dommages aux neurones cérébraux, aux vaisseaux sanguins et aux organes internes, dont la fibrose pulmonaire serait l’une des manifestations les plus évidentes mais pas la seule (Visuel FEFU press office)

C’est une attaque bien plus systémique que pulmonaire, que décrit aujourd’hui cette équipe composée de scientifiques russes et japonais : le coronavirus SARS-CoV-2 s’attaquerait en effet à a moelle rouge et bloquerait la formation de nouveaux érythrocytes (ou globules rouges). Cette attaque massive des globules rouges entraînerait des dommages aux neurones cérébraux, aux vaisseaux sanguins et aux organes internes, dont la fibrose pulmonaire serait l’une des manifestations les plus évidentes mais pas la seule.

 

La moelle rouge plus répandue chez le jeune enfant, et présente dans certains os spongieux chez l’adulte, permet la formation des globules rouges, des plaquettes et de certaines cellules immunitaires. Ici, les scientifiques de l’International Medical Research Center (Niigata, Japon) de la Far Eastern federal university (FEFU, Vladivostok) et de la Pacific State Medical University (Vladivostok) révèlent et décryptent comment la maladie COVID-19 s’attaque à la moelle rouge et aux érythrocytes dans la circulation sanguine, bloquant le processus de formation de nouveaux globules rouges.

Ainsi, les globules rouges seraient la cible principale du SARS-CoV-2,

écrivent ces chercheurs dans leur communiqué. Des globules rouges qui, entre autres fonctions, sont responsables dans l'organisme du transport de l'hémoglobine, une protéine riche en fer, qui transporte l'oxygène. « Le virus pénètre dans l'épithélium, où il se multiplie, puis pénètre dans la circulation sanguine et attaque ses cibles, à la fois l'épithélium interne (tractus gastro-intestinal, poumons, système génito-urinaire) et les érythrocytes », explique Galina Reva, professeur au département de médecine fondamentale à la FEFU.

 

La perte d'érythrocytes peut alors :

  • endommager les neurones cérébraux, les vaisseaux sanguins et les organes internes, qui ne reçoivent plus assez d'oxygène ;
  • dans les cas les plus graves, une défaillance de plusieurs organes peut survenir car sans suffisamment de globules rouges, le patient commence à suffoquer ;
  • la ventilation artificielle devient inefficace lorsque le transport d’oxygène est mis à mal ;
  • injecter de la « masse érythrocytaire et de la vitamine B12 devient alors la seule solution ;
  • le mécanisme de récupération des globules rouges endommagés reste un mystère pour les scientifiques…
  • La dégradation précoce des globules rouges est la première réponse du corps au virus du SRAS COV-2 et cette dégradation augmente progressivement.

 

Toute personne ayant un faible taux d'hémoglobine est à risque. Il s'agit tout d'abord des personnes âgées, des patients souffrant d'hypertension artérielle, des personnes souffrant d'obésité et de diabète sucré, des femmes enceintes, des patients présentant un déficit immunitaire primaire et acquis, avec inhibition de la fonction hématopoïétique, des patients atteints du VIH et du cancer.

 

La fibrose pulmonaire n'est que la manifestation la plus évidente du COVID-19 : « Bien que le plus souvent, les signes les plus évidents comprennent la pathologie du système respiratoire et pulmonaire, le virus n'a besoin de cellules épithéliales que pour sa reproduction. En réalité (nous pensons que) la principale cible du virus est la moelle rouge.

 

C’est pour cette raison que les cellules du système immunitaire et des mégacaryocytes, de très grandes cellules de la moelle osseuse, ont été trouvées dans les tissus de divers organes. Normalement, les mégacaryocytes produisent des plaquettes sanguines, qui sont responsables de la coagulation du sang, mais avec le COVID-19, ils coagulent le sang dans les vaisseaux sans aucune nécessité.

 

Ainsi, la fibrose pulmonaire n’est qu’une manifestation plus évidente du COVID-19, causée elle-aussi par un excès de mégacaryocytes dans la circulation sanguine et des processus similaires peuvent se produire dans les tissus de tous les organes parenchymateux (denses), à savoir les poumons, le foie, la rate, les reins, le pancréas et la thyroïde.

 

Autre cible, la pulpe blanche de la rate : enfin, car ce n’est pas tout, ces scientifiques expliquent que le coronavirus induit également la destruction de la pulpe blanche de la rate, les cellules même productrices de tissus responsables de l'immunité comme les cellules T et les lymphocytes B. Le patient ne peut alors survivre que grâce à de fortes doses d'antibiotiques, à condition d’un traitement suffisamment précoce car lorsque les globules rouges commencent à mourir du manque d'oxygène, le patient a déjà commencé à suffoquer.

 

Ces scientifiques ont vérifié ces processus sur des échantillons de poumons de 79 patients décédés du COVID-19.