HYPERTRABÉCULATION : Exercice vigoureux, cœur spongieux
La pratique régulière de l'exercice, de manière intensive ou modérée, fait partie des recommandations liées à un mode de vie sain. Cependant, cette étude de chercheurs du Centro Nacional de Investigaciones Cardiovasculares Carlos III (CNIC) révèle qu’un entraînement physique de haute intensité peut déclencher toute une série de changements physiologiques dans le corps et notamment dans le cœur. Parmi ces changements, l’augmentation du nombre de trabécules à l'intérieur du cœur ou hypertrabéculation, qui bien que la plupart du temps inoffensive peut provoquer une mort subite cardiaque chez certaines personnes présentant une forme de cardiomyopathie héréditaire. Un processus décrit dans le Journal of the American College of Cardiology (JACC).
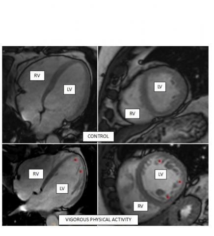
Chez la plupart des sportifs et en particulier chez les athlètes professionnels, le cœur s'adapte à l'entraînement de différentes manières, notamment en augmentant le nombre de ces petit filaments appelées trabécules, essentiels dans l’activité électrique et le fonctionnement du cœur. Chez certaines personnes cependant, cette hypertrabéculation peut devenir pathologique. Les scientifiques du CNIC décryptent le processus sous-jacent à cette hypertrabéculation associée à une « apparence spongieuse » (Voir visuel ci-dessous).
La présence de trabécules n'est pas toujours un signe de cardiomyopathie non compactée
L’équipe du CNIC utilise la résonance magnétique cardiaque pour mesurer l'hypertrabéculation liée à l'exercice chez un groupe de 700 participants à l'étude PESA-CNIC-SANTANDER. Ces participants en bonne santé pratiquaient l’exercice à des niveaux variables, aucun n'était un athlète professionnel. L'activité physique a été évaluée objectivement à l'aide d'accéléromètres portés au cours de périodes d'une semaine coïncidant avec chaque évaluation triennale prévue dans le suivi de l’étude. L'activité physique individuelle a donc pu être classée comme « absente = sédentarité » ou comme exercice léger, modéré ou vigoureux. L’analyse montre que
- les participants avec pratique vigoureuse de l’exercice ont un cœur plus gros avec plus de masse musculaire, des changements « typiques » du cœur sportif ou de l’athlète et considérés comme normaux sur le plan physiologique ;
- 33% des participants ayant un niveau élevé d'activité physique vigoureuse (hommes et femmes) répondent aux critères diagnostiques de la « cardiomyopathie sans compactage », une condition caractérisée par la présence de trabécules « saillantes » alors même qu’ils sont en bonne santé ;
La conclusion est claire :
« Il est essentiel de distinguer cette adaptation bénigne à l'exercice, de la cardiomyopathie sans compactage ».
La condition en question peut en effet avoir des conséquences graves, « notamment l'insuffisance cardiaque, la thromboembolie, les arythmies et la mort cardiaque subite », ajoute l’auteur principal le Dr Borja Ibáñez. De précédentes études ont d’ailleurs suggéré que l'hypertrabéculation pouvait simplement être une conséquence de la dilatation du cœur en cas de pratique intense de l’exercice physique. Cette nouvelle étude confirme que l'hypertrabéculation et la dilatation sont deux conditions bien différentes.
Pourquoi il est essentiel de faire la différence : Dans la cardiomyopathie sans compactage, les parois du cœur s'amincissent et le muscle cardiaque normalement compact est remplacé par la forme spongieuse (trabéculaire), en contact direct avec l'intérieur des ventricules. Le problème est que cette condition est souvent diagnostiquée chez de jeunes personnes asymptomatiques avec une recommandation médicale : cesser immédiatement toute activité physique qui pourrait entraîner une mort cardiaque subite.
Or, la présence de trabécules n'est pas toujours un signe de cardiomyopathie non compactée. Certaines situations physiologiques, telles que celles résultant d'un entraînement physique intense sont connues pour déclencher des changements dans la structure cardiaque similaires à ceux observés dans la cardiomyopathie non compacte.
Les 700 participants de l’étude sont toujours suivis pour permettre une analyse longitudinale détaillée du développement, de la réversibilité et des implications cliniques de cette adaptation cardiaque à l'exercice physique.
Autres actualités sur le même thème
HYPERTENSION : L'enzyme qui protège contre ses dommages cardiaques
Actualité publiée il y a 3 années 4 moisTEMPS D’ÉCRAN : Seul l’exercice le rend inoffensif
Actualité publiée il y a 7 années 10 moisPRODUITS LAITIERS FERMENTÉS : Bénéfiques contre l’hypertension artérielle ?
Actualité publiée il y a 5 années 2 semainesÂGE avancé et MULTIMORBIDITÉ ? Vaut-il mieux arrêter l’exercice ?
Actualité publiée il y a 1 année 11 mois



