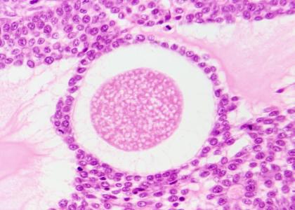
ORGANOÏDES : Des ovaroïdes pour étudier les DDS et l’infertilité
Cette équipe de l’Institut Pasteur vient de développer des « mini-ovaires » ou organoïdes d’ovaires qui vont faciliter la recherche sur l'infertilité. Ce nouveau modèle « d’ovaroïdes », développé à partir de cellules souches, qui vient d’être présenté lors du Congrès de la Société européenne d'endocrinologie pédiatrique (ESPE) et de la Société européenne d'endocrinologie (ESE), va permettre une meilleure compréhension et le développement de nouveaux traitements pour les anomalies ou différences de développement sexuel (DDS) et l'infertilité.
Pour continuer à lire cette actualité, vous devez être membre Premium.
Je souhaite devenir membre PREMIUM
Accèdez sans limite aux 15 000 actualités du site et recevez gratuitement chaque semaine, la Newsletter Santé log avec les actus Santé à ne pas manquer !
Je suis déjà
membre PREMIUM
Devenez membre PREMIUM
Accèdez sans limite aux 15 000 actualités du site
et recevez gratuitement chaque semaine,
la Newsletter Santé log avec les actus Santé à ne pas manquer !

Je suis déjà membre PREMIUM
Autres actualités sur le même thème
GÉNÉTIQUE : Quid en cas d'explosion du nombre de copies lors de la fécondation
Actualité publiée il y a 9 années 4 semainesLe matériel génétique d'un organisme code les instructions qui guident son développement. Mais ces codes ne sont pas sculptés dans la pierre, écrivent ces...SYSTÈME IMMUNITAIRE : La souris TruHuX qui en a les atouts
Actualité publiée il y a 1 année 6 moisESPÉRANCE de VIE: 2 variantes génétiques la raccourcissent de 3 ans
Actualité publiée il y a 10 années 1 semaineSANTÉ au QUOTIDIEN: Un nouveau tracker sous forme d'e-peau
Actualité publiée il y a 9 années 12 mois
ABONNEMENT PREMIUM
Accédez sans limite à plus de 15 000 actualités


