Découvrez nos réseaux sociaux
Actualités

PRÉMATURITÉ : Un flux sanguin perturbé dans le cerveau annonce les troubles neurodéveloppementaux

Actualité publiée il y a 8 années 4 mois 1 semaine
Un flux sanguin altéré dans le cerveau des nouveau-nés prématurés est un signe avant-coureur et très précoce du risque de troubles neurdéveloppementaux.

Comment capter ce qui va bien ou mal dans les cerveaux en développement de ces nouveau-nés prématurés très fragiles ? Comment repérer les signes avant-coureurs de risque de troubles neurodéveloppementaux à long terme ? Cette recherche du Children's National Medical Center (Washington) s’attaque à ce défi et marque une étape importante dans la compréhension du retard neurodéveloppemental possible chez ces enfants. Ses conclusions, présentées dans le Jurnal of Pediatrics révèlent en effet un flux sanguin altéré dans le cerveau des nouveau-nés prématurés, un signe avant-coureur et très précoce du risque de troubles neurdéveloppementaux.

 

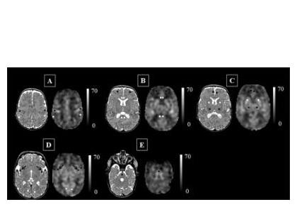
Les scientifiques aboutissent à des cartes du flux sanguin cérébral exprimé en mL / 100g / mn et montrent que, chez ces enfants, l'insula (flèches noires sur « D ») peut être particulièrement vulnérable aux stress supplémentaires de la vie. Ainsi, le flux sanguin cérébral de zones clés du cerveau peut être altéré chez les prématurés, ce qui peut constituer un signe précurseur d'une perturbation du développement cérébral bien avant que l'imagerie conventionnelle soit en mesure de la détecter.

Les scientifiques aboutissent à des cartes du flux sanguin cérébral exprimé en mL / 100g / mn

 

Au cours du troisième trimestre de la grossesse, le cerveau du fœtus subit une "poussée de croissance" sans précédent et, pour alimenter cette croissance, le débit sanguin cérébral augmente et libère l'oxygène et les nutriments supplémentaires nécessaires au développement normal du cerveau. Dans les grossesses à terme, ces structures cérébrales se développent à l'intérieur de l'utérus où le fœtus peut entendre la mère et son rythme cardiaque, ce qui stimule aussi sa maturation cérébrale. Or chez les nouveau-nés prématurés, ce processus essentiel de développement est fréquemment dépourvu de ces stimuli.

 

Le débit sanguin cérébral, un bon marqueur du développement cérébral de l’enfant : ici, les chercheurs parviennent à cartographier, chez 98 nouveau-nés prématurés nés à moins de 32 semaines gestationnelles à la naissance et pesant moins de 1.500 grammes à la naissance, le débit sanguin cérébral, par imagerie par marquage de spins artériels. La technique non invasive identifie la concentration en eau du sang qui circule dans le cerveau des nourrissons afin d’identifier les zones qui reçoivent ou ne reçoivent pas le sang adéquat. Cette analyse montre que les nourrissons très prématurés présentent un débit sanguin cérébral cortical supérieur à celui des nourrissons nés à terme, mais que, dans certaines zones, dont l'insula -impliquée dans l'émotion-, le cortex cingulaire antérieur - impliqué dans les processus cognitifs- et le cortex auditif -impliqué dans le traitement du son- le débit sanguin est significativement diminué par rapport à celui de nourrissons nés à terme. Et, corrélées à ces déficiences de débit sanguin, sont identifiées des lésions cérébrales parenchymateuses.

 

« La maturation continue du cerveau du nouveau-né est illustrée par le schéma de distribution du flux sanguin cérébral. Grâce à cette technique d’imagerie, notre étude montre qu'en plus du tronc cérébral et de la matière grise profonde, l'insula et les zones du cerveau responsables des fonctions sensorielles et motrices sont également parmi les régions les plus oxygénées. Or, chez les nourrissons prématurés, l'insula peut être particulièrement compromise et donc vulnérable aux stress supplémentaires que l’enfant pourra rencontrer dans la vie. Ainsi, le développement altéré de l'insula et du cortex cingulaire antérieur chez ces nouveau-nés pourrait constituer les signes avant-coureurs du risque de troubles neurodéveloppementaux à long terme ».