PROTÉINOSE ALVÉOLAIRE PULMONAIRE : Une statine pour libérer les bronches
Prendre une « petite statine » pourrait traiter efficacement cette maladie pulmonaire rare et sévère, dont le seul traitement à l’heure actuelle est le lavage complet des poumons. Ces travaux d’une équipe de Cincinnati, présentée dans la revue Nature Communications, apportent ainsi une nouvelle perspective aux patients atteints, avec l’espoir de regagner en qualité de vie.
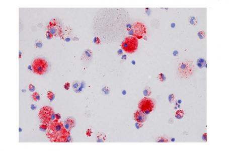
La protéinose alvéolaire pulmonaire est caractérisée par l'accumulation d'une substance composée notamment de cholestérol (en rouge sur visuel) dans les espaces aériens distaux. Les principaux symptômes de maladie qui se développe entre 20 et 40 ans comprennent des difficultés respiratoires, la toux, une sorte de râle à l'inspiration.
Les chercheurs de l'hôpital pour enfants de Cincinnati décryptent avec ces travaux le processus qui mène à l'accumulation de cholestérol : la régulation cellulaire est perturbée par une molécule appelée facteur de croissance des colonies de granulocytes-macrophages (GM-CSF : granulocyte-macrophage colony stimulating factor). Or ce facteur de croissance est crucial pour le développement de macrophages matures dans les poumons et pour la fonction respiratoire. L’étude menée sur des modèles murins de la maladie et auprès de 2 patients atteints montre que cette dysrégulation cellulaire réduit la capacité des macrophages à traiter et à éliminer le cholestérol, lui permettant ainsi de s'accumuler. L’étude montre également que la prise de statines par voie orale peut traiter efficacement la maladie. En effet, la fonction respiratoire se trouve améliorée chez les patients adultes et sur les modèles de laboratoire.
Un espoir pour les patients atteints car le traitement standard actuel est un lavage complet du poumon ou lavage broncho-alvéolaire qui permet d’éliminer la substance accumulée dans les alvéoles. De plus, la procédure doit être répétée chaque fois que les poumons se bouchent, ce qui nuit considérablement à la qualité de vie des patients. « Comprendre que le facteur pathogène de la maladie est la perturbation de l’homéostasie du cholestérol, suggère que les statines sont une approche pharmacologique assez simple pour traiter les patients atteints ».
Des données qui incitent à lancer un essai clinique permettant de tester le traitement par statines chez un plus grand nombre de patients, associé ici à un meilleur équilibre du cholestérol dans les cellules macrophages pulmonaires et à l’élimination des opacités alvéolaires.
Autres actualités sur le même thème
TIQUE : Piqûre et allergie à la viande rouge, un risque plus élevé que prévu
Actualité publiée il y a 7 années 1 semaineALLERGIES : Expositions environnementales au début de la vie et réponses immunitaires
Actualité publiée il y a 7 années 2 moisASTHME : Bientôt un tracker de crise ?
Actualité publiée il y a 8 années 10 moisHYPOTHÈSE de l’HYGIÈNE : Première explication du mécanisme sous-jacent
Actualité publiée il y a 2 années 4 mois



