TUBERCULOSE : L'intelligence artificielle pour la diagnostiquer
Ces modèles d'intelligence artificielle pour détecter ou évaluer la tuberculose (TB) sur les radiographies du thorax vont considérablement contribuer à améliorer les tests de dépistage et d'évaluation dans les zones endémiques de la tuberculose avec accès limité aux radiologues. C’est le développement présenté par cette étude de Philadelphie, présentée dans la revue Radiology, qui décrit comment des ordinateurs programmés pour imiter des fonctions cognitives humaines supérieures vont venir compléter les tâches d’évaluation des radiographies en fonction des relations de données existantes.
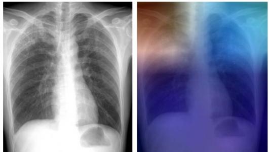
La tuberculose est l'une des 10 principales causes de décès dans le monde (OMS). En 2016, la maladie a touché plus de 10 millions de personnes entraînant 1,8 million de décès. La tuberculose peut être identifiée via l'imagerie thoracique, mais les zones endémiques ne disposent généralement pas de l'expertise radiologique requise pour dépister et diagnostiquer la maladie. L'intelligence artificielle ici basée sur ce que les chercheurs nomment « l'apprentissage approfondi » peut être un recours précieux pour « remplacer » l'expertise radiologique qui fait défaut dans certaines zones endémiques. Le Dr Paras Lakhani, de l'Hôpital universitaire Thomas Jefferson (Philadelphie), co-auteur de l'étude explique : « Une solution d'intelligence artificielle qui pourrait interpréter des radiographies et détecter la présence de la tuberculose pourrait accroître la portée de l'identification et du traitement précoce dans les pays en développement ». C'est tout le développement effectué par son équipe, celui d'un type d'intelligence artificielle qui permet aux ordinateurs de compléter les tâches en fonction des relations des données existantes. Un réseau inspiré de la structure du cerveau exploite plusieurs couches de données et de motifs « cachés » pour mieux interpréter les images. Un modèle qui peut atteindre 99% de précision : un modèle réalisé à partir de 1.007 images de patients avec et sans tuberculose active apportant de multiples jeux de données de radiographie thoracique a permis aux chercheurs de développer plusieurs modèles d'apprentissage approfondis qui testés sur 150 cas ne sont en désaccord avec le diagnostic radiologique humain que dans 13 cas seulement. Avec la participation (réduite ou à distance) d'un expert humain, la précision nette du modèle atteint près de 99%. L'exemple est donné ici avec l'image couleur ci-contre : les zones rouges et bleu clair dans les lobes supérieurs représentent les zones activées par le réseau neuronal profond de « l'intelligence artificielle ». Le réseau se concentre ainsi sur des parties de l'image où la maladie est présente (les deux lobes supérieurs). L'équipe travaille toujours à améliorer encore ses modèles pour pouvoir rapidement pouvoir les mettre en application dans un environnement réel : leur solution d'intelligence artificielle utilisant l'imagerie thoracique pourrait prochainement jouer un rôle important dans la lutte contre la tuberculose.
Avril, 2017 Deep Learning at Chest Radiography: Automated Classification of Pulmonary Tuberculosis by Using Convolutional Neural Networks (Visuel@Radiological Society of North America)
Plus de 30 études sur la Tuberculose
Retrouvez toute l'info du diagnostic sur Diagnostic Blog
Autres actualités sur le même thème
CANCER du SEIN : Greffer des cellules cancéreuses pour évaluer leur agressivité
Actualité publiée il y a 3 mois 1 semaineECG : L’électrocardiogramme mobile qui laisse une main de libre
Actualité publiée il y a 6 années 11 moisDIAGNOSTIC : Le liquide interstitiel recèle aussi de biomarqueurs
Actualité publiée il y a 5 années 4 moisMÉLANOME : Un nouveau microscope pour détecter et diagnostiquer
Actualité publiée il y a 8 années 11 mois



