TAU PET: L'imagerie qui repousse les frontières dans la compréhension de l'Alzheimer
Cette nouvelle technique d'imagerie nommée « Tau PET », Tau pour la « protéine » et PET pour « positron emission tomography » qui permet d’observer jusqu’à l’activité moléculaire dans les cellules du cerveau, repousse les frontières et ouvre de toutes nouvelles possibilités pour le développement de nouveaux médicaments pour le traitement de la maladie d’Alzheimer et d’autres démences. De nouvelles conclusions, publiés dans la revue Brain, qui révèlent comment les images Tau PET permettent de discerner, à un degré de précision bien plus élevé, les changements dans le cerveau. De nouvelles cibles sont ainsi identifiées qui peuvent donner lieu à une nouvelle ère thérapeutique de la maladie.
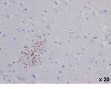
Les chercheurs de l'Université de Lund rappellent que les promesses de la méthode d'imagerie Tau PET tiennent à la précision des images fournies capables de cartographier la présence de protéine Tau (en rouge sur visuel ci-contre) dans le cerveau, avec l'aide d'une caméra gamma et d'une molécule radioactive spécialement sélectionnée (F-AV-1451). On a vu que si Tau joue un rôle clé dans le transport de diverses substances dans les cellules nerveuses du cerveau, son accumulation dans les cellules du cerveau entraîne peu à peu la mort cellulaire. Cette étude de cas, menée avec l'aide de la technique Tau PET, confirme une correspondance parfaite entre l'image et la réalité. Une analyse des tissus du cerveau d'un patient décédé ayant récemment subi un examen par Tau PET, confirme toute la précision de cette « nouvelle » méthode d'imagerie. Tau PET peut améliorer le diagnostic et suivre précisément la réponse aux nouveaux médicaments, explique Ruben Smith, chercheur à l'Université de Lund et médecin à l'hôpital universitaire Skåne : « Certes, il y a de nouveaux candidats qui visent à réduire l'accumulation de tau. L'imagerie Tau PET est un outil précieux de surveillance du développement de la maladie à un niveau de précision jusque-là inégalé et de réponse des agrégats de tau aux traitements". Cette reproduction fiable par imagerie de la protéine tau dans le cerveau constitue un marqueur et un outil de diagnostic très précieux en regard des méthodes actuellement disponibles. Les chercheurs se concentrent aujourd'hui sur le suivi et la « reconstitution » de l'agrégation de la protéine tau dans le cerveau au fil du temps…
Autres actualités sur le même thème
CERVEAU-CŒUR : La diminution du volume cérébral annonce le problème cardiaque
Actualité publiée il y a 11 mois 2 semainesMÉMOIRE : L'écriture manuscrite plutôt que le clavier ?
Actualité publiée il y a 5 années 5 moisMALADIE CARDIAQUE et TROUBLES ANXIEUX, un cercle vicieux
Actualité publiée il y a 4 années 2 moisNEURODÉGÉNÉRESCENCE : Identifier des lésions encore invisibles à l'IRM
Actualité publiée il y a 5 années 6 mois



